Congestion pelvienne et RIA (Radio. Interventionnelle Avancée)


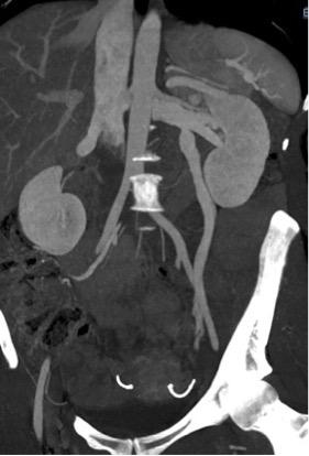
-       IRM pelvienne et angio-IRM
Visualisation des varices pelviennes
Séquence dynamique pour visualiser le sens de circulation de la veine gonadique
Diagnostics différentiels +++
-       Phlébographie diagnostique
Si doute diagnostic
Prise en charge
Si patiente asymptomatique : STOP
Pluridisciplinaire (gynéco, angiologue, radiologue)
Traitement médicamenteux : AINS, phlébotonique, implanon, culottes de compression…
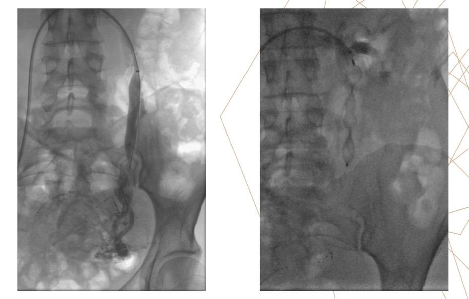
Phlébographie en intention de traiter +++
-       En ambulatoire, au bloc opératoire
-       Sédation consciente par anesthesiste, anésthésie locale point de ponction
-       Ponction veine fémorale commune droite
-       1er temps diagnostic : phlébographie iliaque interne,  veine rénale, veine gonadique
-       2ème temps thérapeutique : embolisation (points de fuite veineux pelviens si ils existent et sont symptomatiques, varices pelviennes et veine gonadique gauche). Matériel d’embolisation variable (mousse sclérosante, colle biologique, coil…)

Figure 1 : phlébographie avant et après embolisation
RAD avec antalgique, spasfon, AINS, à la demande
RAD avec réseau infirmier à domicile spécialisée en radiologie interventionnelle.
Complications potentielles :
-       Hématome du point de ponction veineux
-       Douleurs pelviennes post-embolisation / résiduelles
-       Thrombose veineuse profonde/EP
-       Migration exceptionnelle du matériel
-       PAS de modification hormonale, PAS de trouble fertilité…
Résultats :
Dans les études de suivi à trois mois, 88 % d'amélioration des symptômes. Dans d'autres études qui montrent un suivi jusqu'à cinq ans, le taux de réduction des symptômes reste au-dessus de 85 %, que cela concerne la douleur, les dyspareunies, les troubles mictionnels, la prise d’antalgique…
Nous joindre pour l’interventionnel : (Embolisation SCP, varicocèle, fibrome utérin, prostate, hémorroïde. Angioplastie artérielle… )
-       Mail : radiobois@iris-imagerie.fr
-       Tel : 03-20-22-56-12
-       Internet : EMBOLILLE.fr
